Hip Fracture Surgery
Hip fractures are serious injuries, most commonly affecting older adults due to falls or bone weakening from osteoporosis. These fractures often occur in the femoral neck or intertrochanteric region and require immediate surgical intervention to restore mobility and prevent life-threatening complications. Hip fracture surgery aims to stabilize the broken bone, reduce pain, and enable early movement—greatly improving the patient’s quality of life and survival chances.
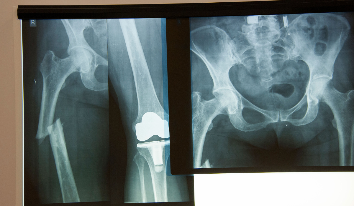
The type of surgery depends on the location and severity of the fracture, as well as the patient’s age and overall health. Options include internal fixation using screws or rods, partial hip replacement (hemiarthroplasty), or total hip replacement in cases with joint damage. The primary goal is to realign and secure the bone, allowing it to heal properly. Early surgical repair reduces the risk of blood clots, pneumonia, bedsores, and muscle wasting associated with immobility.
Benefits of Hip Fracture Surgery:
Prompt and precise treatment improves recovery and prevents complications.
-
Rapid Pain Relief
Surgical fixation or replacement stabilizes the bone and immediately reduces pain.
-
Faster Return to Mobility
Surgery enables early walking and reduces long-term dependence on others.
-
Reduced Risk of Complications
Early intervention prevents infections, blood clots, and lung problems from bed rest.
Services Offered
We offer comprehensive care for hip fractures—from diagnosis to surgery and post-operative rehabilitation. The process begins with clinical assessment, X-rays, and sometimes CT scans to evaluate the fracture type. Based on the findings, our orthopedic team develops a tailored surgical plan. Internal fixation is preferred for non-displaced or stable fractures, using metal screws, rods, or plates to hold the bone together.
For displaced or severe fractures—especially in older adults—partial or total hip replacement is recommended. In hemiarthroplasty, the femoral head is replaced with a prosthesis, while in total hip replacement, both the femoral head and hip socket are replaced. These procedures are performed under spinal or general anesthesia with precision and care.
Frequently Asked Questions
To help you better understand your condition and treatment options, we’ve answered some of the most commonly asked questions below.
Severe hip or groin pain, inability to walk, and one leg appearing shorter or rotated outward are common signs.
Ideally, surgery should be done within 24–48 hours of injury to prevent complications and promote healing.
Internal fixation stabilizes the bone using screws/rods, while hip replacement involves replacing part or all of the hip joint.
Yes, with modern techniques and anesthesia, most seniors tolerate surgery well and recover successfully.

